Τηλεφωνήστε

2521037690, 6937320257

ΝΕΑ

ΕΠΙΣΚΕΨΗ ΣΤΟΝ ΟΔΟΝΤΙΑΤΡΟ

Προετοιμαστείτε για την Επίσκεψη στον Οδοντίατρο.
Καταρχήν είναι σημαντικό να έχετε έναν οδοντίατρο με τον οποίο να αισθάνεστε άνετα. Όταν βρείτε τον οδοντίατρο που σας ταιριάζει, κλείστε ένα ραντεβού μαζί του για έλεγχο, πριν εμφανιστεί οποιοδήποτε πρόβλημα.

Κατά την πρώτη σας επίσκεψη, ο οδοντίατρος, θα καταγράψει το πλήρες ιατρικό…

Περισσότερα »

ΟΛΑ ΠΟΥ ΠΡΕΠΕΙ ΝΑ ΓΝΩΡΙΖΕΤΕ ΓΙΑ ΤΟΥΣ ΦΡΟΝΙΜΙΤΕΣ

   Οι φρονιμίτες ή σωφρονιστήρες είναι οι τρίτοι γομφίοι, τα τελευταία δηλαδή δοντια που ανατέλλουν συνήθως στην εφηβεία στο πίσω μέρος του στόματος. Τις περισσότερες φορές είναι τέσσερις ένας στην κάθε πλευρά πάνω και κάτω. Υπάρχουν όμως και κάποιες φορές που λείπουν ένας ή και περισσότεροι φρονιμίτες, όπως επείσης…

Περισσότερα »

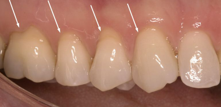
ΥΦΙΖΗΣΗ-ΠΤΩΣΗ ΤΩΝ ΟΥΛΩΝ ΑΙΤΙΕΣ ΚΑΙ ΘΕΡΑΠΕΙΑ

Μπορεί να έχετε ένα φαινομενικά υγιές στόμα και να κάνετε σωστή και ολοκληρωμένη στοματική υγιεινή αλλά να βλέπετε ότι τα ούλα αρχίζουν σιγά-σιγά να υποχωρούν. Τα υγιή ούλα σχηματίζουν ένα προστατευτικό κολάρο γύρω από το δόντι. Όταν τα ούλα υποχωρούν και αποκαλύπτεται η ρίζα του δοντιού Μπορεί να εμφανιστεί…

Περισσότερα »