Τηλεφωνήστε

2521037690, 6937320257

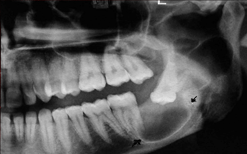
Ψηφιακή Ακτινογραφία

Ψηφιακή Ακτινογραφία

Όπως είναι γνωστό πως οι ακτινογραφίες παίζουν ένα σημαντικό ρόλο στη διάγνωση και αναγνώριση αρκετών οδοντιατρικών προβλημάτων. Στο ιατρείο της Dr. Ειρήνη Δημάδη υπάρχει το σύστημα ψηφιακής ακτινογραφίας. Με το σύστημα αυτό ένας μικρός αισθητήρας χρησιμοποιείται αντί του κλασσικού φιλμ.

Ο αισθητήρας είναι συνδεμένος σε έναν υπολογιστή, έτσι ώστε όταν η ακτινογραφία καταγράφεται η εικόνα εμφανίζεται στην οθόνη σε δευτερόλεπτα. Ένα μεγάλο πλεονέκτημα του συστήματος της ψηφιακής ακτινογραφίας είναι η μειωμένη έκθεση στην ακτινοβολία. Επειδή ο αισθητήρας είναι πολύ ευαίσθητος η έκθεση μειώνεται στο 1/10 σε σχέση με την παλαιότερη μέθοδο με το κλασσικό φιλμ. Ένα δεύτερο μεγάλο πλεονέκτημα είναι η ταχύτητα με την οποία εμφανίζεται η ακτινογραφία στην οθόνη του υπολογιστή, κερδίζοντας πολύτιμο χρόνο.

Επίσης, ο ίδιος ο ασθενής μπορεί να δει την ακτινογραφία σε υψηλή ανάλυση και να κατανοήσει καλυτέρα το πρόβλημα του. Οι ακτινογραφίες αποθηκεύονται και ο οδοντίατρος μπορεί κάθε στιγμή να τις ξαναδεί αν χρειαστεί. Η ευκολία λήψης, απεικόνισης και αποθήκευσης των ακτινογραφιών καθιστά την ψηφιακή ακτινογραφία σε ένα πραγματικά ισχυρό εργαλείο, και σε συνδυασμό με την ικανότητα του οδοντιάτρου δίνει άριστα αποτελέσματα σε πολλές θεραπείες των δοντιών και των ουλών.