Το FASTBRACES® απευθύνεται σε εφήβους και ενήλικες ασθενείς που θέλουν να ισιώσουν ανώδυνα τα δόντια τους, αλλά δεν θέλουν να περιμένουν χρόνια για ποιοτικά αποτελέσματα. Αυτή η υψηλής ποιότητας τεχνολογία βοηθά στην ευθυγράμμιση των δοντιών πολύ γρήγορα, ακόμη και σε περίπου 100 ημέρες, χωρίς να διακυβεύεται η θεραπεία.
Γιατί αυτό που είναι κατάλληλο για ένα όμορφο χαμόγελο (η εμφάνιση των δοντιών) έρχεται με αυτό που είναι σωστό για ένα όμορφο δάγκωμα (ο τρόπος που αγγίζουν τα δόντια)!
Το FASTBRACES® χρησιμοποιείται σε χώρες σε όλο τον κόσμο και είναι διαθέσιμο σε διακριτικά αισθητικά διάφανα ή μεταλλικά σιδεράκια που είναι άνετα και παρέχουν όμορφα αποτελέσματα γρήγορα και με ασφάλεια.
Αυτό συμβαίνει επειδή η τεχνολογία πίσω από τις μεθόδους και τη θεραπεία με δίπλωμα ευρεσιτεχνίας FASTBRACES® χρησιμοποιεί μόνο ένα σύρμα τιτανίου νικελίου υψηλής τεχνολογίας από την αρχή μέχρι το τέλος που βοηθά στην αποκατάσταση της μορφολογίας των υγιών οστών γύρω από τα στραβά δόντια, απαλά και εύκολα καθώς γίνονται ίσια.
Αυτός είναι ο λόγος για τον οποίο το βασικό όφελος από τη χρήση του FASTBRACES® είναι ότι, για πολλούς ασθενείς, η θεραπεία ολοκληρώνεται σε περίπου 100 ημέρες.
Η γρήγορη ευθυγράμμιση των δοντιών με την τεχνολογία FASTBRACES® βοηθά τους ασθενείς να λαμβάνουν υψηλού επιπέδου θεραπεία, με λιγότερες επισκέψεις στο ιατρείο, καθιστώντας τη μέθοδο αυτή λιγότερο ακριβή από άλλους τύπους ορθοδοντικής θεραπείας.
Οφέλη από τα FASTBRACES®
• Πραγματικά γρήγορη θεραπεία
• Ασφαλές και άνετο
• Λιγότερες επισκέψεις
• Μικρότερο κόστος

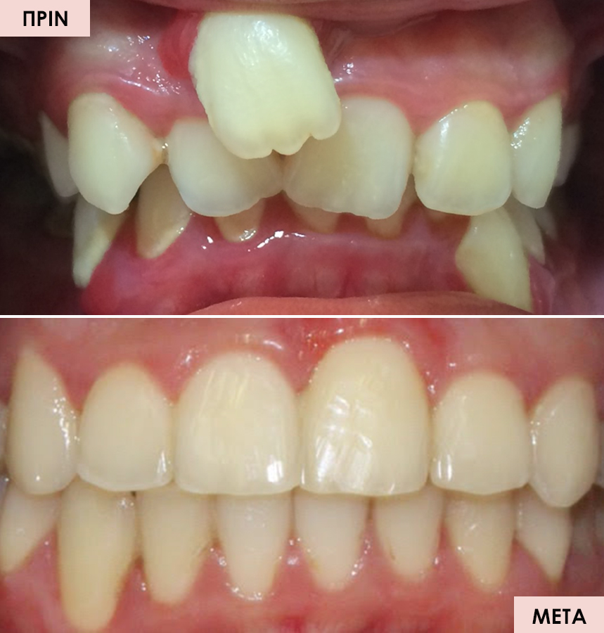
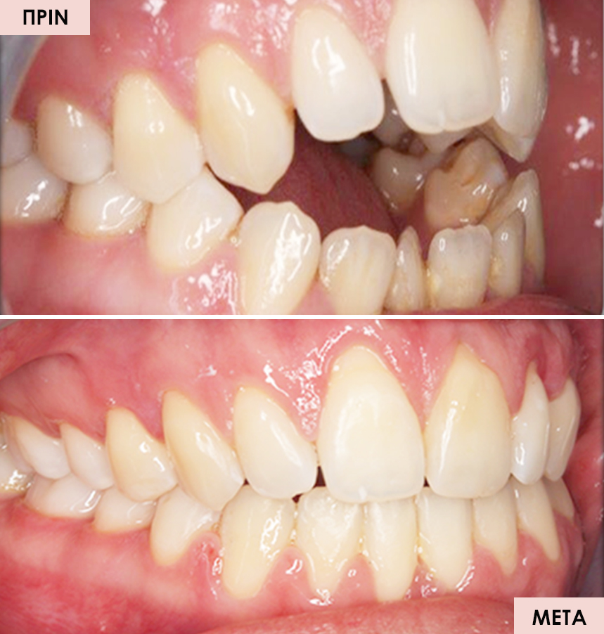
Πριν και μετά

Πριν και μετά σε 96 ημέρες

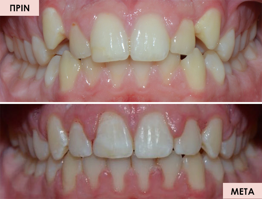
Πριν και μετά

Πριν και μετά σε 115 ημέρες

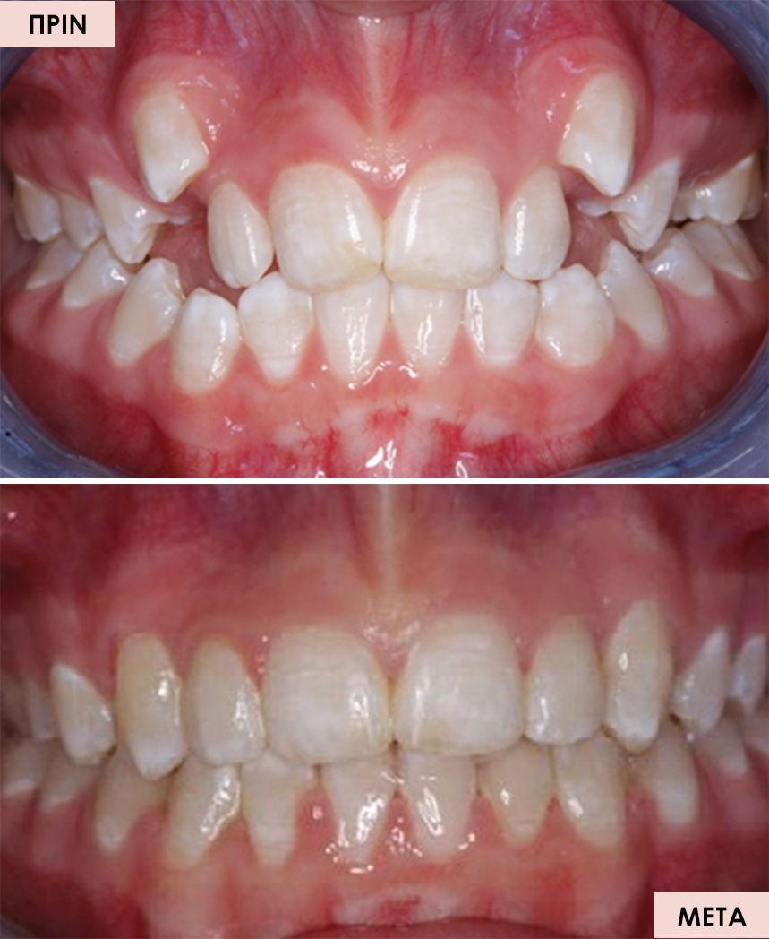
Πριν και μετά σε 124 ημέρες

Πριν και μετά σε 152 ημέρες

Πριν και μετά σε 117 ημέρες

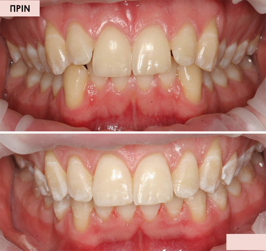
Πριν και μετά