Τηλεφωνήστε

2521037690, 6937320257

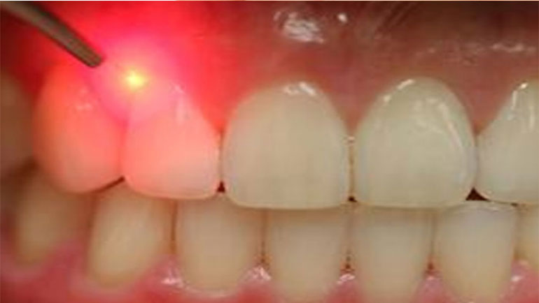
Θεραπεία Περιοδοντικής Νόσου με Laser

Θεραπεία Περιοδοντικής Νόσου με Laser

Περιοδοντολογία

Είναι ο τομέας που ασχολείται με την πρόληψη, τη διάγνωση και τη θεραπεία των νόσων του περιοδοντίου. Το περιοδόντιο χρησιμεύει ως συσκευή συγκράτησης του δοντιού και συνίσταται από τους εξής ιστούς: ούλα, περιρρίζιο, οστείνη και οστό των φατνίων. Η περιοδοντική νόσος ή αλλιώς περιοδοντίτιδα αποτελεί την επέκταση της επιφανειακής ουλίτιδας στους στηρικτικούς ιστούς του δοντιού.

Συμπτώματα της ουλίτιδας:

  • Αιμοραγία των ούλων κατά το βούρτσισμα
  • Διόγκωση των ούλων και των μεσοδόντιων θηλών
  • Έντονο ερυθρό χρώμα των ούλων
  • Κακοσμία

    Συμπτώματα της περιοδοντίτιδας:

  • Κινητικότητα των δοντιών (μικρή ή μεγάλη)
  • Υφίζηση (υποχώρηση) των ούλων
  • Ερυθρότητα των ούλων
  • Διόγκωση των ούλων
  • Πύον ανάμεσα στα δόντια και στα ούλα
  • Κακοσμία
  • Ούλα που έχουν αποκολληθεί από τα δόντια          

 

    Παράγοντες που προδιαθέτουν την περιοδοντίτιδα:

  • Κακή στοματική υγιεινή (δημιουργία οδοντικής μικροβιακής πλάκας που είναι αιτία της περιοδοντικής νόσου)
  • Σακχαρώδης διαβήτης (μη ρυθμισμένος)
  • Κάπνισμα
  • Άγχος
  • Λήψη φαρμάκων
  • Κληρονομικότητα
  • Ορμονικές διαταραχές
  • Τραυματική σύγκλειση
  • Κακή κατασκευή προσθετικών εργασιών (γέφυρες,θήκες) και εμφράξεων (σφραγίσματα)

    H θεραπεία περιοδοντίτιδας σήμερα μπορεί να γίνει χειρουργικά με κρημνό (άνοιγμα των ούλων, διευθέτηση των ιστών και συρραφή) είτε με LASER. Εφαρμόζοντας σωστά το LASER στο πλαίσιο της περιοδοντικής θεραπείας εξαλείφεται η ανάγκη για χειρουργική επέμβαση η οποία είναι εξαιρετικά οδυνηρή και δαπανηρή που επιπρόσθετα οδηγεί σε απογύμνωση των ριζών και των δοντιών και ευαισθησία. Με το LASER επιτυγχάνουμε άριστα αποτελέσματα. Το μεγαλύτερο πλεονέκτημα από τη χρήση του κατά την περιοδοντική θεραπεία είναι η αντιμικροβιακή δράση που έχει στο περιβάλλον του περιοδοντικού θυλάκου (σχισμή ανάμεσα στο ούλο και δόντι) σκοτώνοντας τα βακτήρια και αδρανοποιώντας τις τοξίνες στην επιφάνεια της ρίζας του δοντιού. Επιπλέον προσφέρει απομάκρυνση του φλεγμονώδους ιστού και βιοδιέγερση των περιοδοντικών ιστών. Μέσω της βιοδιέγερσης στοχέυουμε σε μια ομαλή επούλωση και ανάπλαση μέρους των χαμένων περιοδοντικών ιστών. Έτσι τα ούλα γίνονται γρηγορότερα υγιή, ανθεκτικά και προσκολλώνται ξανά (σφίγγουν) στις ρίζες των δοντιών και παύουν να είναι χαλαρά και φλεγμονώδη.

    Εκτός από τα εξαιρετικά αποτελέσματα που προσφέρει το LASER στην αντιμετώπιση της περιοδοντικής νόσου, ένα επιπλέον πλεονέκτημα είναι η απουσία του μετεγχειρητικού πόνου. Η θεραπεία με LASER είναι απολύτως ασφαλής και ανώδυνη. Οι ασθενείς μπορούν να λειτουργήσουν και να εργαστούν κανονικά χωρίς προβλήματα.