Κλείστε Ραντεβού

Τηλεφωνήστε

2521037690, 6937320257

Navigation
  • Αρχική
  • Ιατρείο
  • Υπηρεσίες
    • Οδοντικά Εμφυτεύματα
    • Αισθητική Οδοντιατρική
    • FASTBRACES
    • Εφαρμογές Laser
    • Ενδοδοντία
    • Περιοδοντολογία
    • Οδοντική Χειρουργική
    • Χειρουργική Στόματος
    • Προσθετική
    • Ψηφιακή Ακτινογραφία
    • Μέθοδος Choukroun
  • Πριν & Μετά
  • Σεμινάρια
  • Νέα
  • Media
  • Επικοινωνία


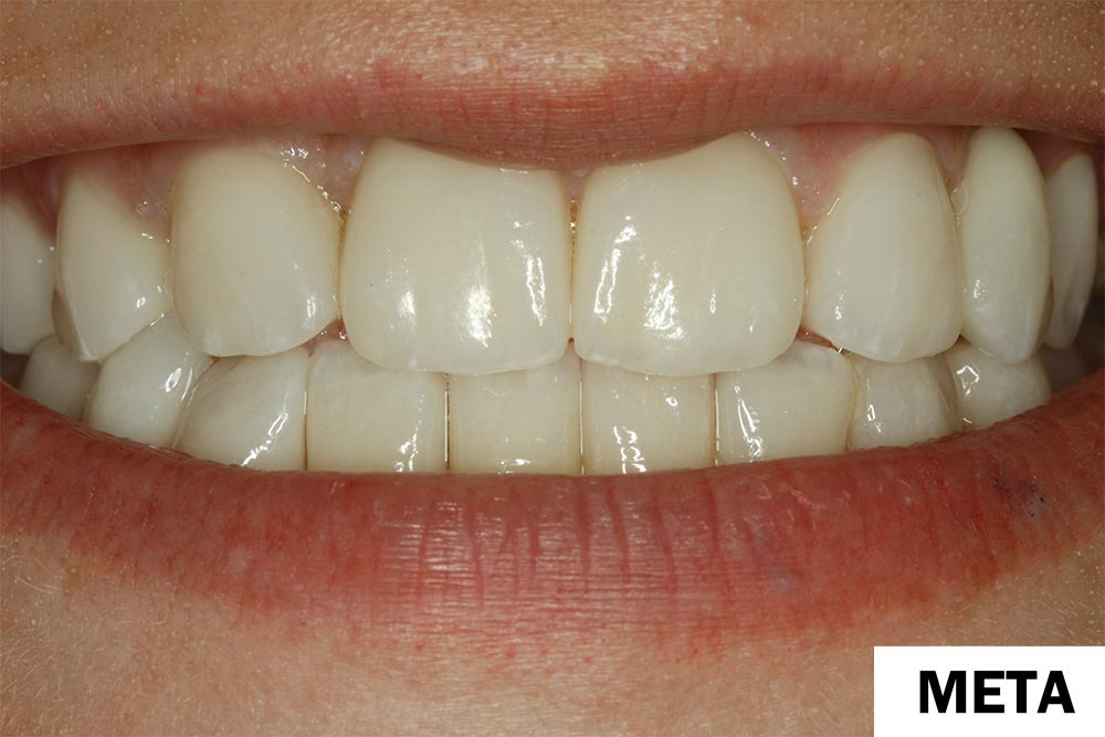
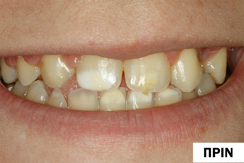
Ολική Αποκατάσταση με Όψεις Πορσελάνης


Επικοινωνήστε μαζί μας


Βελισσαρίου 2
Δράμα


Τηλ: 2521037690, 6937320257
Email: edimadent@yahoo.gr

  • Οδοντικά Εμφυτεύματα
  • Αισθητική Οδοντιατρική
  • FASTBRACES
  • Εφαρμογές Laser
  • Ενδοδοντία
  • Περιοδοντολογία
  • Οδοντική Χειρουργική
  • Χειρουργική Στόματος
  • Προσθετική
  • Ψηφιακή Ακτινογραφία
  • Μέθοδος Choukroun
  • Διεύθυνση:

    Βελισσαρίου 2,
    Δράμα

  • Τηλέφωνο:

    2521037690
    6937320257

  • Email:

    edimadent@yahoo.gr

  • Website:

    www.eirinidimadi.gr

2018 © Ειρήνη Δημάδη.
FORCE WEB • Κατασκευή ιστοσελίδας | SEO | Προώθηση ιστοσελίδων